Accepting Most Major Insurance & Flexible Financing
Problems We Treat
Severe Toothache? Immediate pain relief.
Knocked-Out Tooth? 1-hour “Save the Tooth” window.
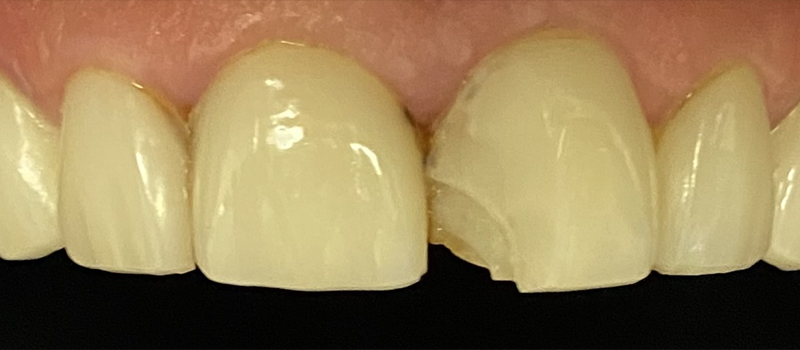
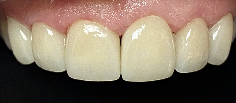
Broken Crown/Filling? Same-day repairs.
Swelling/Infection? Emergency antibiotics & root canals.
Bleeding Gums? Trauma & injury care.

Real Ellicott City patients restored to full health in a single visit
Why Choose Us
24/7 Availability
We don't just say it; we have an on-call system for true emergencies.
Advanced Tech
Digital X-rays & CBCT scans for instant, precise diagnosis.
Affordable Care
No insurance? No problem. Ask about our flexible payment plans.
Judgment-Free Zone
Whether it’s been 6 months or 6 years since your last visit, we are here to help, not judge.
Social Proof

Insurance
We accept Aetna, BCBS, Delta Dental, Cigna, and more. Call to verify your plan.





